典型病例
高压氧治疗基底动脉尖夹层瘤破裂栓塞术后实例
2014年3月12日下午5:20,北京天坛医院,一位男性患者,43岁,因突然出现昏迷,呼吸暂停正在紧急抢救。经紧急气管插管,呼吸机支持等抢救措施,待生命体征平稳后,急诊脑CT检查,确诊为颅内蛛网膜下腔出血,考虑动脉瘤破裂。于19:21分行脑血管介入造影,确诊为基底动脉尖夹层瘤破裂,并行动脉栓塞术。术后自主呼吸恢复,但仍呈浅昏迷状态,随后转入重症监护病房监护治疗,同时进行脑室和腰穿引流,颅内压监测。3月16日(术后第四天)患者昏迷状态加重,医院组织神经外科、神经内科、神经介入科、神经ICU和高压氧科等有关专家紧急会诊。经专家讨论认为再出血可能性很小,除加强监护治疗外,应尽早高压氧治疗。鉴于患者随后两日昏迷进行性加重,3月19日脑核磁影像发现右侧中脑、桥脑和小脑引部和半球广泛急性缺血改变,为挽救患者缺血区脑组织,改善脑干功能,随紧急于当日采用高压氧舱内抢救治疗。高压氧首次治疗后次日患者意识即出现明显好转,随后每次治疗后均有明显改善,后经经高压氧连续治疗6次后神志完全清醒,3月25日、4月8日及5月份脑核磁影像检查原脑缺血范围和程度明显好转(详见核磁影像对比)



病例介绍:
一、病例特点:
1.男性,43岁;
2.突然起病,头晕、头痛、呕吐,就诊期间突然意识丧失,呼吸心跳停止,经紧急插管,呼吸机支持,心肺复苏成功;
3.急诊脑CT、MRI诊断为蛛网下腔出血,经介入血管造影证实基底动脉尖夹层动脉瘤破裂,及时予以栓塞止血,但还有部分和合并瘤体需再次择期介入处理;
4.术后自主呼吸恢复,但仍呈浅昏迷状态,随后转入重症监护病房监护治疗,同时进行脑室和腰穿引流,颅内压监测;
5.术后第四天患者意识障碍进行性加重;
病情评估:
3月16日术后第四天,医院组织神经外科、神经内科、神经介入科、神经ICU和高压氧科等有关专家紧急联合会诊。经专家讨论认为再出血可能性很小,除加强监护治疗外,应尽早高压氧治疗(但有专家担心病人危重,不宜搬动,提议再观察2日后决定);
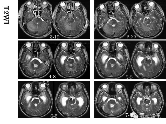
3月19日患者意识障碍加重,脑核磁显示:小脑及右侧颞叶可见大片状水肿T2/FLAIR呈稍高信号,DWI呈稍高信号,提示小脑及右侧颞叶大片组织急性缺血性改变,无明显活动性出血;
鉴于病情进展性加重,为积极改善脑组织缺血缺氧性损伤,挽救缺血组织,征得家属知情同意即可开始高压氧抢救治疗。
治疗经过:
高压氧治疗:采用高压氧空气舱,2ATA,升压30分钟,稳压60分钟,减压30分钟,稳压全程采用头罩吸氧,每日1次,舱内由医护人员陪同,并对生命体征实时监测;
高压氧首次治疗后次日患者意识即出现明显好转,随后每次治疗后均有明显改善,高压氧连续治疗6次后神志完全清醒。
3月25日和4月8日患者脑核磁复查显示:小脑及右侧颞叶可见大片状水肿T2/FLAIR呈稍高信号,DWI呈稍高信号逐渐减低,范围逐渐缩小,4月8日时DWI信号恢复正常。
患者急性期共完成高压氧治疗20余次,鉴于4月8日脑核磁显示双侧脑室开始扩大,室旁周围出现渗出性改变,考虑为出血后继发颅内交通性脑积水。择时给予脑室腹腔分流术,术后继续间断高压氧治疗。7月30日复查脑核磁显示:脑室周围渗出消失。
病人预后良好。
上一篇: 高压氧治疗急性重度一氧化碳中毒患者实例



















京公网安备111010602104056