医院动态
抽丝剥茧 破解巨大肿瘤快速复发的谜团——北京天坛医院成功诊断全球报告不足百例的罕见肿瘤
短短一个半月的时间,曾经几乎占满患者一侧胸腔、已经切除干净的肿瘤快速复发,体积甚至不亚于切除前。肿瘤为什么会在这么短的时间里复发且生长如此迅速?下一步该如何治疗?这到底是一种什么疾病……这个巨大的肿瘤上,笼罩着重重迷雾。
“不能眼睁睁看着患者被肿瘤折磨。”北京天坛医院病理、胸外、超声、放射、肿瘤、神经肿瘤等多学科专家们抽丝剥茧,最终依靠在几十张病理切片中找到的蛛丝马迹,锁定了这个怪异的肿瘤:恶性蝾螈瘤。而这种恶性度极高的肿瘤,目前全球报告的病例还不足一百例。

震惊:一个半月快速复发的巨大肿瘤
淼淼(化名)是一个正在上学的女孩。去年11月,她没有明显诱因出现右下胸部疼痛,特别是夜间平躺时明显。在当地就诊时怀疑是肌肉拉伤,但疼痛反复出现,影像学检查提示,她的右下肺部有占位可能。12月,家人带着淼淼辗转找到北京天坛医院胸外科副主任医师李维青求医。
“女孩的增强CT显示,她的右侧胸腔几乎已经被肿瘤填满,影像学和超声引导下穿刺活检的病理结果证实,这是一个恶性外周神经鞘膜瘤。”李维青说,对付这个肿瘤,手术是第一选择。
2023年12月14日,李维青主刀,为淼淼进行手术。“肿瘤个头太大,又已经侵犯到患者的右肺中叶和中间段支气管,在手术的时候要避免出血,还要保护被侵犯的器官,同时尽可能切干净。”凭借丰富的经验,李维青干脆利落地将这个直径近15厘米的巨大肿瘤完整地切除。手术后,淼淼恢复得很好,很快就顺利出院。李维青叮嘱淼淼的家人,手术后三周一定要来医院复查。
让李维青没想到的是,三周后淼淼复查时的CT显示,她的胸腔中再次长出了肿瘤。“这种恶性肿瘤复发的可能性很大,但谁都没想到这么短时间内就会复发。”由于距离上次手术时间太短,李维青叮嘱淼淼的家属,赶紧带她进行内科治疗,控制肿瘤生长的势头。
来势汹汹的肿瘤没有给淼淼太多机会,当一个月后李维青再见到她时,她又变成了第一次手术之前的样子:胸痛、憋气,肿瘤甚至从肋间长到体表。影像学检查发现,淼淼的肿瘤体积不但和第一次差不多,还在她的胸膜、膈肌等多处播散。
肿瘤生长速度太快,而淼淼的一般情况很好,经过综合判断,李维青觉得有二次手术的机会,这个想法也得到了淼淼和家人的支持,2024年2月4日,李维青再次为淼淼进行手术。这次手术进行了3个多小时,李维青尽可能把能切掉的肿瘤全部切掉,切下来的肿瘤装满了放标本的弯盘。
“为什么淼淼的肿瘤会复发得这么快、长得这么大?”疑问笼罩在李维青和同事们的心头,大家四处打听,但这种情况基本没人遇到过。
“看到那个甩着‘尾巴’,像红飘带一样的细胞,我浑身的肌肉都绷紧了”
同样的疑问也困扰着北京天坛医院病理科副主任董格红。2月5日,淼淼第二次手术的次日,董格红看到了肿瘤组织的病理切片。“初检医师已经得出恶性外周神经鞘膜瘤的结论,需要我进行复核。”
“当时已经是晚上七八点钟,办公室里只有我自己。这个患者的病理切片比较多,大概有20多张,我看到第十四五张的时候,已经能够确定初检医师的结论是正确的。”但这无法解释肿瘤为何复发得如此迅速,带着疑问,董格红决定先看完所有的切片再签发报告。
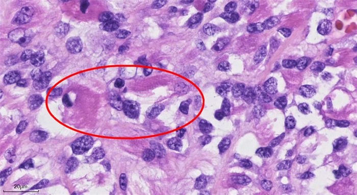
显微镜下,第16张切片上密密麻麻的细胞间的一抹红色让董格红瞬间紧张起来。“甩着‘尾巴’,飘带一样的红色胞浆,和周围的细胞形成强烈的对比。我当时浑身的肌肉都紧绷起来。”“红色的飘带”意味着横纹肌的分化,类似的切片,董格红还是在2011年自己做规培生的时候,从一位专家分享的教学片里看过,这种叫做恶性蝾螈瘤的疾病给她留下了深刻的印象。
恶性蝾螈瘤是恶性周围神经鞘膜瘤的一个罕见且侵袭性的亚型,迄今为止全世界范围内报道不足百例,多为个案报道。“我作为病理科医生,这种肿瘤虽然罕见,但有明确的特异性的特征,见过就不会忘。但这毕竟是我在临床工作中第一次遇见这种肿瘤,到底准不准,我也有动摇和犹豫。”为了验证自己的判断,董格红重新调出了淼淼穿刺活检和第一次手术的病理切片,在其中寻找蛛丝马迹。
穿刺活检的病理切片中没有发现“红飘带”,董格红又细致地复查起第一次手术的几十张病理切片,终于,在其中一张切片的一个边缘,她又看到了“红飘带”。“细胞很隐蔽,不知道会在什么地方、在哪张切片中出现,而且很容易与胶原细胞融为一体,很难发现。”但这个隐蔽的“红飘带”证实了董格红的判断,随后,她组织科室集体会诊,并邀请经验丰富的前辈一起参与讨论。
大家都是第一次接触这种肿瘤,经过反复论证,大家一致认为,综合患者临床病程进展迅速、快速复发的症状,以及典型的形态学和免疫组化指标,诊断淼淼所患的正是恶性蝾螈瘤。
诊断结果被迅速反馈给胸外科,根据这个诊断,淼淼正在接受放疗和抗血管生成靶向药等综合治疗。
只要有一丝希望,不放弃任何可能
4月18日,北京天坛医院组织疑难病例多学科诊疗(MDT)大讲堂。来自病理、胸外、放射、超声、肿瘤和神经肿瘤等多个专业的专家围绕这例恶性蝾螈瘤病例展开讨论,并制定后续治疗策略。
“第二次手术到现在将近三个月,患者的胸腔里整体比较干净,没有复发的迹象。”李维青说,前几天,淼淼还回到病房,给照顾自己的医生护士送来自己做的小礼品和零食,小姑娘已经恢复了活力。
“这个病例的诊断,为我们病理科医生积累了宝贵的经验,以后再遇到类似的病例,可以快速想到这种罕见病。”董格红说,北京天坛医院每年都会接诊不少周围神经肿瘤患者,再遇见恶性蝾螈瘤的概率很高,能够准确作出诊断、积累数据,对于患者后续治疗,以及针对这种疾病展开研究和临床试验,具有重要意义。
“这个病例的诊断和治疗,也为医院罕见病多学科诊疗积累了宝贵的经验。”北京天坛医院医务处副处长赵梦说,通过临床诊疗团队的密切合作,以及MDT大讲堂的深入交流探讨,能够提升医院疑难罕见病例的诊断水平,同时也能促进多学科诊疗机制和模式的完善,未来,医院将进一步推广这种多学科诊疗模式,为疑难疾病患者寻找更多的治疗机会。




















京公网安备111010602104056