典型病例
血管外科成功抢救一例直径13cm的巨大破裂腹主动脉瘤高龄患者
日前,北京天坛医院多学科协作,救助一名76岁的巨大腹主动脉瘤破裂患者。目前患者恢复情况良好。

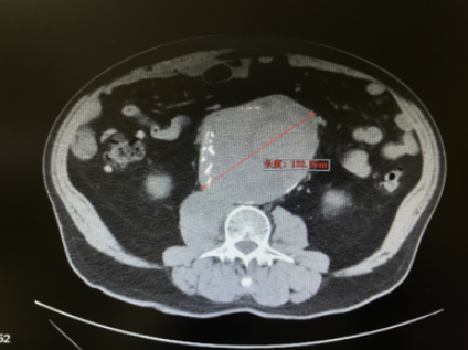
11月4日晚,一名76岁的老人因腰背部剧烈疼痛,来到北京天坛医院急诊。CT检查发现,老人腹腔里有一个直径达13厘米的巨大腹主动脉瘤,瘤体已经出现先兆破裂,瘤颈极度扭曲,一旦出血继续进展,会引起失血性休克威胁患者生命,情况十分危急。患者年迈,基础条件很差且患有慢性阻塞性肺疾病及冠心病,曾接受过冠状动脉搭桥手术,开放手术风险极高。值班医生立即将情况汇报给血管外科主任沈晨阳,沈晨阳第一时间赶回医院,并指示值班医生马上联系手术室、麻醉科、重症医学科、输血科等相关科室,做好急诊手术准备。
在向家属充分交代手术必要性和风险后,手术室护理团队第一时间将患者接入手术间并尽快完成术前准备,麻醉团队迅速实施麻醉并建立深静脉通路和动脉压监测,沈晨阳带领副主任医师杨根欢、主治医师廖鹏志、主治医师刘新农,成功为患者实施了腹主动脉瘤切除、人工血管置换手术,解决掉这个巨大的“炸弹”。在重症医学科的协助下,患者平稳度过手术危险期,目前恢复良好。
这例巨大破裂性腹主动脉瘤手术难度极大,手术风险极高,手术的成功,体现了医院血管外科的诊疗水平,也体现了在面对“破裂型腹主动脉瘤”这一血管外科急危重症时,由急诊、麻醉、ICU和血管外科组成的多学科团队(MDT)在规范的诊疗流程下,密切协作、高效配合。
目前血管外科已在医务处的指导下,依据国内外相关指南建立了北京天坛医院“破裂型腹主动脉瘤诊疗规范的救治流程”,并建立了由急诊科、麻醉科、放射科、重症监护科和血管外科专家组成的MDT团队,为提高这类危重症的救治率奠定了基础。
下一篇: 多学科联合诊治中枢神经系统淋巴瘤




















京公网安备111010602104056