典型病例
不开颅也能治疗功能区胶质瘤 北京天坛医院完成首例术中磁共振引导下激光间质热疗(LITT)治疗功能区胶质瘤手术
首都医科大学附属北京天坛医院神经外科学中心江涛、周大彪团队日前完成国内首例术中磁共振引导下激光间质热疗(LITT)治疗功能区胶质瘤手术。这种手术相比传统开颅手术,具有创伤小、安全性高、治疗时间短且并发症较少、术后恢复快等优点。
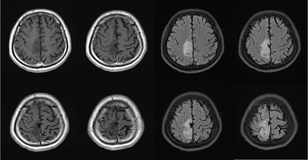
今年32岁的王先生在2018年因为癫痫发作,发现右侧额顶叶占位病变,因为肿瘤累及运动功能区,当地医院进行了肿瘤部分切除。术后病理诊断为弥漫型星形细胞瘤(WHOII级,IDH突变型)。手术后,患者出现左下肢活动受限,偶有癫痫发作。2022年10月开始,王先生癫痫发作情况有所加重,在当地检查发现肿瘤复发,今年,他来到北京天坛医院神经外科就诊。

“我们对患者的综合情况进行了充分的评估和讨论。”神经外科学中心肿瘤四病区主任周大彪说,考虑到患者的胶质瘤残留体积较大且伴有复发,导致症状性癫痫,建议患者积极治疗。但王先生对二次开颅手术可能导致的各种创伤,以及能否彻底切除肿瘤、能否保护运动功能等有很大顾虑,专家们经过综合判断,建议他接受一种新型的神经外科肿瘤微创治疗技术——磁共振引导下激光间质热疗(LITT)。
“这种技术简单说是使用具有精确制导能力的神经导航系统,将毫米级的光纤‘送’到肿瘤里,利用磁共振实时精准控制温度,对肿瘤进行激光消融。”周大彪说,应用这种技术,既可以避免开颅手术创伤过大且肿瘤无法完全切除、切除过程中可能影响大脑功能区等问题,经过与患者和家属充分沟通,患者决定采用这种治疗方案。

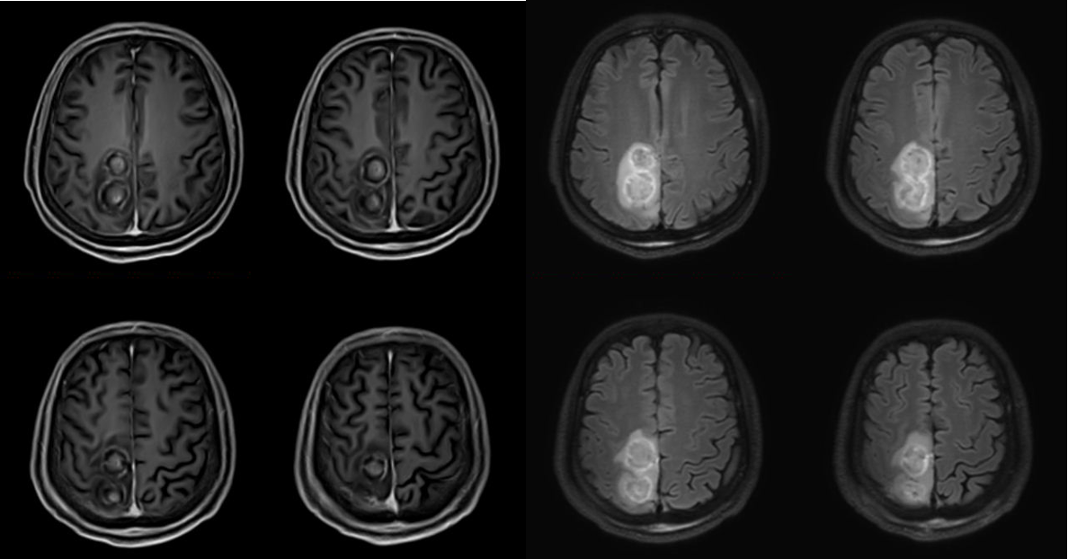
为了确保万无一失,医疗团队和工程技术人员团队一起,为王先生进行了充分的术前准备,通过任务态功能磁共振(t-fMRI)和纤维束成像(DTI)技术确定运动区和神经传导束的位置及与肿瘤的毗邻关系,反复讨论确定神经导航计划、不同剂量的双光纤消融,以及激光光纤置入路径和治疗靶点等。
手术当天,在医院的复合手术间,医疗团队通过神经导航精准定位后,通过颅骨上毫米级的小孔,按照计划路径将光纤准确置入肿瘤内部,在磁共振实时成像的监测下,按照计划对肿瘤进行消融,手术全过程不到2小时。
“在手术中,磁共振成像实时监测可以让我们实时观看消融效果,进行及时的反馈和调整,既满足安全性,又可以达到最佳的效果,手术时间比传统的开颅手术缩短了至少一半。”周大彪说。手术后,王先生很快清醒,自述原本活动受限的左下肢比手术前轻松许多;大约8小时后CT检查未见颅内出血等情况;术后第三天,北京天坛医院神经外科学中心主任江涛和医疗团队一起专门查看王先生情况,发现他左下肢远端肌力恢复良好,预示神经功能恢复的可能性很大,江涛建议密切随访观察远期效果,患者头部微小伤口无缝合线、愈合良好,无颅内感染表现;手术一周后,王先生复查磁共振后顺利出院。


“真没想到,这次的手术这么‘简单’,手术的创伤和影响远远小于第一次的开颅手术。”离开医院前,王先生握着医护人员的手,连声道谢。


据了解,由于术中磁共振引导下激光间质热疗(LITT)技术的种种优势,目前国际神经外科领域正在广泛探索这种技术的临床应用,此前已经有这种技术在治疗癫痫等疾病的成功应用,将这种技术成功应用于大脑功能区复发胶质瘤,目前在国内还是首例。未来随着技术完善和相关治疗理论的开展,LITT技术会使更多患者受益。
上一篇: 多学科联合诊治中枢神经系统淋巴瘤
下一篇: 高国一团队:急性意识障碍促醒治疗新选择




















京公网安备111010602104056