医院动态
方寸之间,他们用尽浑身解数

小苏颅底长了一个巨大的肿瘤,不但已经侵蚀到鼻腔、咽喉,还影响到颈动脉。为了不影响小苏日后的生活质量,北京天坛医院神经外科、耳鼻喉科、麻醉科、重症医学科等多位专家选择多角度内镜经鼻腔联合口腔的手术方式,在小苏口鼻的方寸之间用尽浑身解数,合力为他切除了巨大的脊索瘤。目前小苏已康复出院。
小苏是一个充满活力的大学生。大约一年前,他开始出现鼻塞的症状,随着症状越来越重,在肿瘤的压迫下,小苏呼吸困难,吞咽费力,严重影响生活质量。“一米八多的大小伙子,来门诊看诊时精神状态极差。”北京天坛医院神经外科肿瘤一病区副主任王亮说,小苏告诉他,在当地辗转多家医院求医,但因为肿瘤巨大、病情复杂、手术风险大,很多医生束手无策。
小苏的病情引起了多位专家的关注,神经外科原主任、颅底脑干肿瘤专家张俊廷,肿瘤一病区主任吴震和王亮一起,为小苏进行“重量级”会诊。
“肿瘤巨大,患者一不小心可能通过鼻腔就能抠破肿瘤。”专家们判断,小苏患上的是颅底较为罕见的脊索瘤,这种肿瘤常常侵犯鼻腔、口咽等邻近结构,呈颅内外沟通性生长。目前小苏的肿瘤已经侵犯到斜坡骨质、鼻窦、咽后壁,并包裹了双侧颈内动脉。
据了解,如此大体积的肿瘤切除,依靠单一专业科室往往无法实现肿瘤的彻底切除,颅底神经外科、耳鼻喉科、重症医学科等多学科协作能够达到提高肿瘤切除率并降低术后并发症的目的。
“以往这类手术,为了方便操作,我们通常采取气管切开的方式维持气道通畅。但采取这种方式,远期可能有气道狭窄等后遗症。”王亮说,考虑到小苏比较年轻,为了他未来的生活质量,神经外科的专家们与耳鼻喉科孟令照、重症医学科杨燕琳、麻醉科陆瑜等几位专家进行反复讨论,最终决定,以气管插管的方式代替气管切开,最大限度减少手术对患者的创伤。
“这种方式对我们多学科合作协同作战能力是一次考验。”孟令照说,根据肿瘤的生长方式,专家们决定采用从口腔、鼻腔两条通路协同手术的方式,利用耳鼻喉科与神经外科各自的专业优势,最大程度地暴露肿瘤,在保证颈内动脉等重要组织不受损伤的同时,尽可能全面彻底地切除肿瘤。
2月16日,小苏被推进手术室。一场仅在“方寸之间”的多学科协作手术即将开始。
麻醉医生陆瑜首先为患者进行气管插管,神经外科杨阳医生在完成自体修补材料准备、头架固定、神经导航等一系列准备工作后,孟令照通过鼻腔对小苏的肿瘤进行充分暴露,一点点将鼻窦内的肿瘤切除;随后,王亮在神经导航的辅助下,利用神经内镜将患者斜坡区域的肿瘤切除。
顾不上休息,医生们就要迎来整台手术最艰难的部分。“给我们的空间只有两指宽,就在这个空间里,肿瘤被紧紧地包裹在患者咽部的两侧肌肉中。”王亮说,按照术前制定的方案,孟令照首先将患者的咽后壁小心地切开,然后通过鼻腔将70°内镜伸入到肿瘤位置,通过内镜的灯光,将小苏口咽部的肿瘤完全显露,随后王亮通过内镜直视下从患者的口腔逐步切除肿瘤。
时间一分一秒地过去,在孟令照和王亮的密切配合下,小苏双侧咽旁间隙的肿瘤得以完全清除。整个手术历时6个多小时,最终“藏”在小苏头颅里的巨大肿瘤被成功切除。

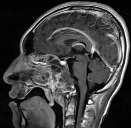
术前MRI显示肿瘤累及斜坡,鼻窦,咽后壁

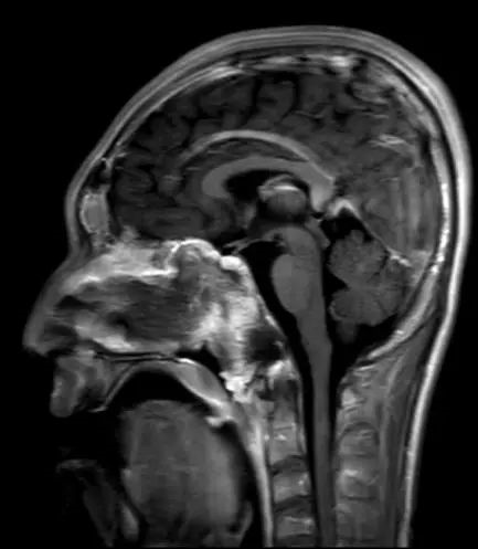
术后MRI显示肿瘤切除满意
在ICU团队的精心照顾下,小苏平稳顺利地完成了脱机、拔除气管插管、拔除鼻饲管等过程,短短几天就转回了普通病房。此时他鼻塞、吞咽困难等症状得到了明显改善,并已经能下地活动和自主进食了,那个曾经阳光、充满活力的大男孩又回来了。
据了解,北京天坛医院神经外科肿瘤一病区立足于颅底脑干专业,依托医院多学科合作优势已治疗了大量患有复杂颅底肿瘤的患者。目前该团队每年实施此类多学科联合手术十余例,随着技术的进步和协作的日臻成熟,能够为更多患者解除病痛。




















京公网安备111010602104056