医院动态
历时9个半小时 动静脉畸形出血少年转危为安

农历正月初一,一场乒乓球赛后17岁的男孩小豪突然颅内出血,生命垂危。从急诊到神经外科,再到手术室、麻醉科和重症医学科,北京天坛医院的医护人员们迅速为小豪搭建起一条生命通道。
小豪刚上高二,身高近1.9米,酷爱运动。农历正月初一晚,小豪和朋友们一起打乒乓球,突然感到天旋地转,吐出咖啡色液体。朋友和家人立即把他就近送到医院,经过CT检查,发现小豪颅内有出血,由于附近医院医疗条件有限,家人把小豪送到了北京天坛医院。
此时已经是次日凌晨,小豪出现明显嗜睡的症状,急诊医生立即将他收入急诊留观室,对症治疗的同时,完善头部各项检查。随后,神内留观的莫荆麟医生向当天值班的神经外科和神经介入医生发出紧急会诊申请。
“刚好刚查完房,我们几个人简单分了一下工,我去看病人,他们回病房看片子。”当天值班的神经外科脑血管一病区主任医师陈晓霖赶去急诊,住院总医师王明泽带领葛学成、王磊波两位进修医师回病房,做好会诊的准备。


“患者小脑蚓部都是杂乱的血管团,但由于血肿对动静脉畸形显影干扰很大,病灶的供血很可能比影像学检查上能看到的复杂,手术难度很高。”陈晓霖说,综合各方面判断,小豪因动静脉畸形导致出血的可能性比较大,由于他后颅窝出血量很大,随着水肿的加重,很可能会压迫脑干或导致急性脑积水;同时,因为患者年龄只有17岁,将来再破裂出血的可能性很大,目前患者有手术指征,通过复合手术可以完全治愈。
几位医生制定了造影明确情况,如果血管条件允许,先栓塞,把出血风险降低后开颅清除血肿并切除病灶的方案,这个方案很快得到了脑血管一病区副主任曹勇和神经外科主任、脑血管一病区主任王硕的支持。
随后,王明泽与麻醉科、手术室、ICU迅速联系,准备手术,向小豪父母交代治疗方案和风险,在对小豪进行必须的防疫筛查后,他被推进复合手术室。此时,麻醉医生王琦、巡回护士邢再兴已等候多时。
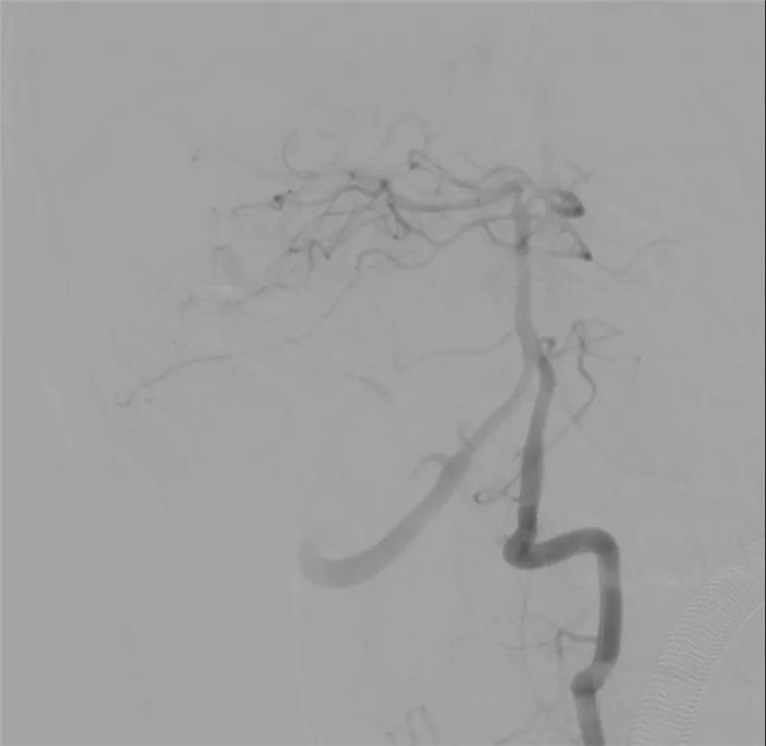
“复合手术室可以对手术患者进行血管造影检查,根据造影检查结果进行手术,并随时可以造影查看手术效果,不必再像以往那样先做造影,再进手术室手术,然后再推出手术室做造影。” 陈晓霖介绍,小豪的全脑血管数字减影造影显示,他的出血病灶是位于小脑蚓部的脑动静脉畸形,而且右侧小脑上动脉和双侧小脑后下动脉都参与了动静脉畸形的供血,动脉极其迂曲,不论是栓塞前的微导管超选还是栓塞后的微导管撤出都存在一定难度。
根据造影结果,医生们选择对右侧小脑上动脉和左侧小脑后下动脉进行栓塞以降低术中出血风险。由于动脉迂曲、活动度极大,微导丝和微导管的每一寸进退都冒着刺破动脉的风险,足足用了一个小时,两支目标动脉中病灶的供血分支和一部分病灶被成功栓塞,正常血管分支被完整保留。
来不及喘息,医生们发现小豪的病情又发生变化。“遗留的右侧小脑后下动脉向病灶的供血增加,在贴近脑干背侧的位置出现更多弥散病灶显影,这就意味着手术切除病灶可能变得更加危险,患者可能因为术中操作的刺激昏迷不醒,甚至无法自主呼吸。”手术间里的气氛愈加凝重。
“我建议尝试通过最后这支供血动脉争取完全栓塞,开颅只做血肿清除,尽量减少对脑干的影像。”陈晓霖说,大家随后对最后一支供血动脉发起“进攻”。通过不断调整微导丝的形态,将微导管超选到尽可能靠近畸形巢的位置,王明泽向微导管内推入栓塞剂。随着一团栓塞剂慢慢出现在引流静脉与病灶交界的位置,畸形完全被栓塞,经过造影复查,原本“一团乱麻”的病灶区域十分干净,只有几团栓塞剂的痕迹若隐若现,小脑的各个分支动脉都被完好保留!
手术间内士气大振,医护人员相互配合,开颅、枕骨大孔减压,陈晓霖在显微镜下对患者小脑和第四脑室内血肿进行清除,并对血肿壁上疑似的异常血管进行电凝。
经过复查,小豪的动静脉畸形被完全消灭,正月初三0时30分许,手术结束,用时9小时30分。
目前,小豪正在重症监护病房接受后续治疗,情况平稳。


据了解,北京天坛医院神经外科脑血管组建立了脑出血的急诊危重症绿色通道,依托复合手术技术实现诊断与治疗、介入与显微手术的成功融合,有效缩短了急诊脑出血患者的诊治流程,争取了珍贵的救治时间窗。2018年以来,团队已完成了50余例脑出血急诊病人救治。随着技术的进步和团队的壮大,更多的患者将从复合手术绿色通道中获益。




















京公网安备111010602104056