科普文章
颅咽管瘤患者健康教育手册
一、什么是颅咽管瘤?
颅咽管瘤(craniopharyngioma)一般认为起源于胚胎时期Rathke囊的残余细胞,是一种常见的先天性颅内良性肿瘤,好发于鞍上、鞍内或脑室内,与下丘脑、垂体柄和垂体有密切的联系。颅咽管瘤为常见鞍区肿瘤,在儿童却是较常见的先天性肿瘤,占鞍区肿瘤的第一位。本病可以发生在任何年龄段,但约70%是发生在15岁以下的儿童和青少年。尽管颅咽管瘤在组织学上呈良性表现,但手术与放射治疗后存在内分泌与代谢紊乱常常影响患者的生活质量和生长发育。
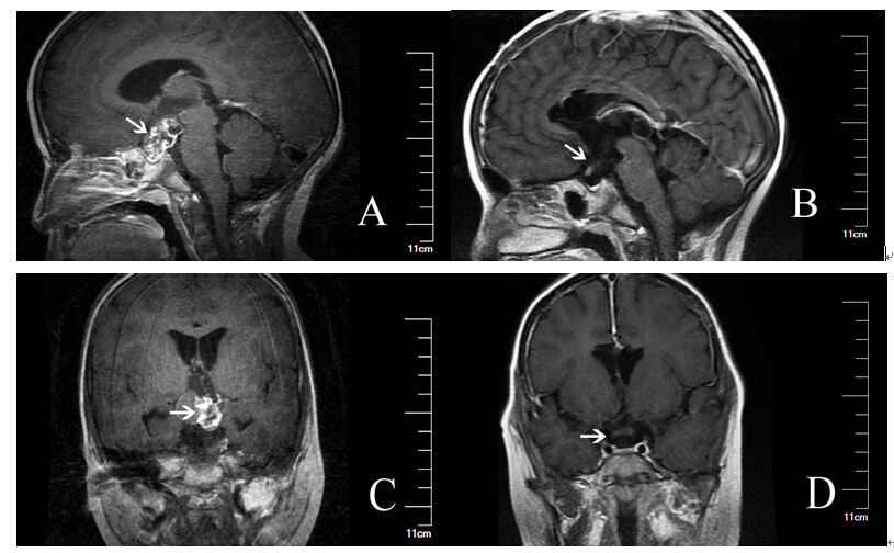
注:图A、C为颅咽管瘤患者术前头核磁影像学表现;图B、D为颅咽管瘤患者术后核磁影像学表现。箭头指示处为肿瘤位置。
二、病因:
病因仍不清,可能与遗传因素、环境因素相互作用有关。
三、临床表现:
1.颅内压增高:出现头痛、呕吐、视乳头水肿、嗜睡甚至昏迷。
2.视力视野障碍,常首诊于眼科。
3.下丘脑症状:体温调节异常、食欲异常与肥胖、睡眠障碍、多饮多尿或无口渴感、人格异常与认知功能受损。
4.垂体功能减退:如身材矮小、性腺功能减退、甲状腺功能减退、肾上腺皮质功能减退等。
四、治疗:
1.手术切除:是神经外科目前治疗颅咽管瘤的首选方法。
2.放射治疗:肿瘤复发患者或没有二次手术机会的患者可选择伽马刀或放射治疗。
3.内分泌:给予相应垂体、靶腺激素替代治疗,并对患者进行健康教育指导。
五、颅咽管瘤手术与放射治疗后需要密切注意的重要问题:
1.如上所述,尽管大多数患者在手术前即存在下丘脑-垂体功能障碍,但在手术与放射治疗后即使肿瘤已完全消失,下丘脑与垂体功能障碍等内分泌代谢问题仍可能继续存在,需要在内分泌专科医师的指导下进一步恰当地调整内分泌功能,而且仍需要定期复查内分泌功能与鞍区影像学检查。因此,手术与放射治疗后并不意味着颅咽管瘤治疗的结束。
2.不恰当内分泌功能调整的可能不良后果:①腺垂体功能减退的儿童患者未及时给予相应激素替代治疗,患儿可出现生长延迟、 呆小症、矮小症、性发育不全。②成年患者可有性功能减退、不孕不育、毛发稀疏、面色苍白、乏力、食欲不振、恶心呕吐、低钠血症、低血糖。③严重患者在感染、麻醉剂、镇静药等诱因下可出现“垂体危象”,患者常表现为低血糖、低血压、低血压、可有低体温或高热(体温39~40℃),如抢救不及时进而出现昏迷严重时危及生命。 ④糖皮质激素替代过量未及时调整剂量,患者可出现药物性库欣综合征,表现为向心性肥胖、高血糖、高血压、电解质紊乱,严重者可出现骨质疏松、股骨头坏死、感染、消化道出血甚至危及生命。
3.怎样解决还存在的内分泌功能紊乱问题,内分泌就诊规律(就诊时机):①如患者术前即出现垂体功能减退症状,应在术前前往内分泌科就诊,及时评估垂体功能,给予相应靶腺激素替代治疗,避免“垂体危象”等严重并发症发生,保障神经外科手术顺利进行,减少术中、术后并发症。
②通过临床实践我们发现,颅咽管瘤患者术后6个月后下丘脑-垂体-靶腺功能缺陷的变化逐渐减缓,因此建议颅咽管瘤患者术后3个月、6个月、12个月时进行下丘脑-垂体-靶腺功能评估,并长期于内分泌科、神经外科随诊,调整激素替代种类及方案,以适应不同年龄阶段需要,改善患者术后的生活质量。
六.颅咽管瘤患者内分泌功能紊乱的表现、评估方法及治疗方案
1.下丘脑-垂体-肾上腺轴:
① 受损临床表现:食欲差和体重减轻、乏力、虚弱、头晕、消化道症状(恶心及呕吐)等。
② 评估方法:采血行垂体促肾上腺皮质激素及皮质醇的水平检查(上午8点、下午4点、夜间零点),观察其水平是否减低及分泌节律是否存在。
③ 治疗方案:给予口服糖皮质激素替代治疗。(但使用糖皮质激素期间需密切监测药物可能带来的副作用及不良反应:如骨质疏松、消化道损伤、感染、糖代谢异常等)。
.jpg)
2.下丘脑-垂体(生长激素)-IGF-1轴:
① 受损临床表现:在未成年患者主要表现为生长发育迟缓或身材矮小。在成年患者主要表现为:情绪低落、易焦虑、肌肉力量下降、脂肪增加、心血管疾病风险增加、骨质疏松等。
② 评估方法:采血进行垂体生长激素基础值、IGF-1水平、骨龄检查,必要时行低血糖耐受性试验(ITT)评价垂体生长激素储备功能。
③ 治疗方案:身材矮小的患儿及渴望改善生活质量的成年人,可给予皮下注射生长激素替代治疗。

3.下丘脑-垂体-甲状腺轴:
① 受损临床表现:主要是甲状腺功能减退的临床表现,如:易疲乏、嗜睡、怕冷、食欲下降而体重增加等。
② 评估方法:采血进行甲状腺功能检查。
③ 治疗方案:给予口服左甲状腺激素替代治疗。
4.下丘脑-垂体-性腺轴:
① 受损临床表现:男性出现勃起功能障碍、睾丸缩小等,女性出现无排卵周期、月经量少或停经等,两者均会出现阴毛、腋毛、胡须脱落,性欲减退、不孕不育等。
② 评估方法:采静脉血进行垂体黄体生成素及卵泡刺激素、查睾酮、孕酮、雌二醇水平检查;进一步行GnRH兴奋试验评价垂体促性腺激素储备功能,行hCG释放试验评价性腺储备功能。
③ 治疗方案:根据上述检查结果,个体化地选择模拟下丘脑GnRH脉冲治疗、模拟垂体的hCG+hMG治疗或雌激素(女)、雄激素(男)激素替代治疗。
5.尿崩症:
① 临床表现:多饮、多尿、烦渴、乏力。
② 评估方法:监测24小时尿量,查尿比重,必要时行禁水加压试验。
③ 治疗方案:给予口服去氨加压素(弥凝)恰当替代治疗。

上一篇: 身材矮小是病吗?



















京公网安备111010602104056