我院骨科实施椎间孔镜下的椎间盘微创手术获得成功
我科实施椎间孔镜下的椎间盘微创手术,并取得明显效果。
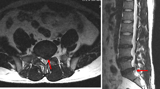
患者男,33岁。因腰痛半年,左腿放射痛二周来诊。入院查体:腰部L5-S1椎间隙压痛明显,并出现向左下肢放射痛。直腿抬高试验20度阳性,加强实验阳性。肌力正常,左足外侧感觉减退。MRI和CT都发现腰椎间盘突出,以L5-S1明显,保守治疗无效。经科室讨论后认为患者有明确手术指征,行微创手术患者恢复快。后于2009年12月2日,由林欣主任主持,潘海涛主任医师、闫家智副主任医师参加,在局麻下行经皮椎间孔镜下椎间盘髓核摘除手术。术后患者疼痛症状消失,第二天能下地活动,术后三天治愈后出院。这是骨科自己实施的第一例椎间孔镜下的椎间盘微创手术,并取得明显效果。
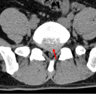
患者腰椎CT显示L5-S1椎间盘突出明显,压迫左侧神经根。
患者腰椎MRI显示L5-S1椎间盘突出明显,对左侧神经根明显压迫

手术切口只有7mm左右,不需要缝合,愈合更快。
(作者:闫家智)




















京公网安备111010602104056